About Doctor
DR. SUDHAKAR REDDY.K
BDS, MDS, FICOI, DICOI (U.S.A),WCOI (JAPAN)
Oral & Maxillo Facial surgeon & Implantologist
Dr. Sudhakar Reddy is a well known in implantology circles as surgeon, teacher, author and researcher.
Services Offered
REGULAR IMPLANTS
Standard implants for patients with sufficient and healthy jawbone.
BASAL IMPLANTS
It takes support from the basal bone for patients with insufficient jawbone
BONE AUGMENTATION
Bone building procedures to place dental implant successfully
Treatment Options
Full Set Of Fixed Teeth in 10 days
Dental implants are the only best and permanent solution to missing teeth
Full Mouth Fixed Ceramic Teeth (All On 6 / 8)
It is a well-established treatment method for edentulous patients
Teeth In One Visit (Immediate Front teeth Replacement)
There are a number of steps to consider before performing
Full Fixed Hybrid Denture (All on 4)
Patients visit the dental clinics,for good smile and moderate chewing ability
Direct Sinus Lift
Dental implant is nothing but like an artificial root that will hold the crown (Cap).
Zygomatic Implants
Dental implants are commonly used to replace missing teeth in different clinical scenarios
Implant Supported Removable Dentures
Regular dentures used by patients can be fixed to jaws by implants support and they can be detached easily
Multiple Tooth Replacements
Multiple missing teeth can be replaced by placing an individual implant for an individual missing tooth
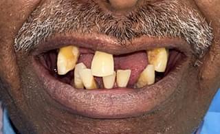
Gallery


Immediate fixed teeth with basal implant
I was always self-conscious about the condition of my mouth. But thanks to Dr. Sudhakar and his team, I smile confidently and more often now.


Full mouth hybrid dentures with regular implants
It feels like I am chewing with my own teeth. I can hardly tell any difference. Choosing Dr. Sudhakar was the best decision I took.


Full mouth ceramic teeth with regular implants
After so many years of soft diet, I can finally eat anything I like. The doctor and his staff were very supportive and made me feel comfortable throughout the treatment.
Case Series
Dental Tourism
Why India?
India is one of the leading destinations for medical and dental tourism. Here the treatment cost is 70-80 % lower than the cost in other countries. Furthermore, the dental experts are highly skilled and are able to communicate in English. India is also a popular travel destination. So you will see an increasing number of people choosing to combine a dental trip with a vacation. View More
Stay with us during the course of treatment. We have some good family rooms we can keep for you if you let us know in advance.
Dental Implant Studio
- Treatment
- Clinic Facilities
- Staff Credentials